Space Closure
- Home
- Space Closure
Space Closure
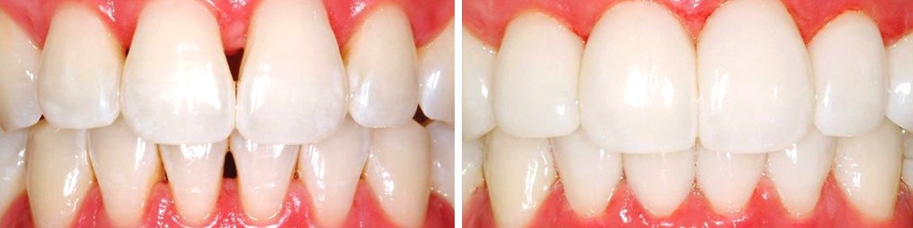
Space closure is an orthodontic procedure used to close gaps or spaces between teeth. These spaces may occur due to missing teeth, tooth extraction, developmental conditions, or improper alignment of the teeth. Large gaps between teeth can affect both the appearance of the smile and the proper functioning of the bite. Space closure treatments help bring the teeth into better alignment and restore a more natural and balanced dental structure.
"Sculpting Beauty, Enhancing Lives"
Our Happy Customers
Join thousands of happy patients who trust us for gentle, expert care and beautiful smiles. Your perfect dental experience starts here!
Nainika Krishnan"Had a enlightening experience with Dr Philip Mathew. He listened to all my concerns patiently and also explained about the procedure in detail. I highly recommend consulting him for any jaw related surgeries."
Bharani S"I had jaw deformity and tooth misalignment due to cleft palatte which made it difficult to chew/eat and the appearance was odd. Dr.Philip Mathew had operated maxillofacial surgeries which has really changed a lot for me positivelyπ.He is one of the best maxillofacial surgeons and also a wonderful human who shows his love and empathy to all the patients equally which matters for the patient to gain self confidence.He has a excellent team who are talented and compassionate.Thank god that people like me who are in need are blessed to meet such selfless person as my doctor.Not only me,I had met so many people with various deformities who had been benefitted from his efficient work and are really so grateful to him throughout their life."
Ramseena Ramsi"I had an issue on my gum of the teeth. I shared about my problem with Dr. Jacob sir. He suggested me about Dr. Philip mathew. Dr. Philip sir suggested facial surgery for my problem and after my surgery i'm very happy. This clinic changed my smile and gave with my new face and smile..πnow im confident.. He is extremly exellent surgeon πππ"
Shalbi Td"My close relative had a very bad face problem. Dr. Philip did a wonderful job in jubilee hospital. My relative was discharged in one day only and face was looking very good after that. Dr. Philip sir has changed my relative life for better."
Vinaya"I had good experience with this clinic.I am a patient of Dr.Philip Mathew for more years.So i can say,Definetly this clinic provide an proper therapeutic environment. All the faculties provide an good approach moreover I am well satisfied with the in my present appearance than before.I thank him for his friendly and dedicated services at the clinic."
Asmeena is"Dr philip Mathew thank you for your excellent service while performing surgery on me . My pain has been minimize during this surgery .will be recommending you to . Iam greatfull for the surgery You did to me. I feel so better and comfortable my face. Thank you dr philip Mathew π..."
29 Artzz"Excellent Ambiance, easy accessibility, All Dental Specialties under 1 roof, Friendly atmosphere, Outstanding Surgical Specialties, Evidence Based Dentistry, Very Patient Friendly. Their Mission and Vision Statement is "Patient Should be Delighted by their Excellent Service"."
Ready to Book Your Appointment?
Contact us today to schedule your visit and take the first step toward a healthier smile.